Résidence Les Lilas , bloc C ,Rez de Chaussée, C 1, Centre Urbain Nord - Tunis 23860083 dr.amine.mlayah@gmail.com

Dr Amine Mlayah

23860083
Transformations Dentaires

Découvrez Nos Réussites: Cas Avant et Après

Blanchiment dentaire

Le blanchiment des dents est une procédure esthétique visant à éclaircir la teinte des dents en éliminant les taches et en éclaircissant l'émail, et peut se faire chez un dentiste ou à la maison avec des kits supervisés. Des produits à base de peroxyde d'hydrogène sont utilisés, et il est crucial de consulter un professionnel pour une évaluation avant le traitement et pour choisir la bonne méthode. Des effets secondaires comme la sensibilité dentaire ou les irritations des gencives peuvent survenir, mais sont généralement réversibles.

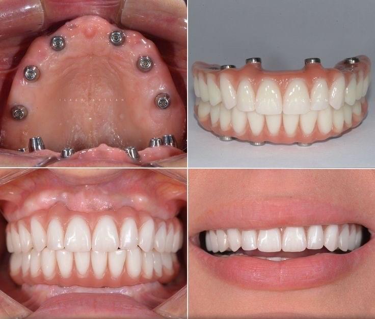
Full Arch (Prothèse complète sur implants)

Implants dentaires pour arcade complète, réhabilitation complète implantaire ou bridge complet sur implants. Il s'agit d'une technique prothétique qui remplace toutes les dents d'une mâchoire grâce à un pont fixe ancré sur plusieurs implants dentaires.

Bridge en Zircone

Un bridge dentaire en zircone est une prothèse fixée qui remplace une ou plusieurs dents manquantes, conçue entièrement en zircone, un oxyde de zirconium très résistant et biocompatible. Il offre une excellente esthétique, une durabilité exceptionnelle et un rendu naturel grâce à sa translucidité, sans les inconvénients des métaux comme les réactions allergiques ou l'effet de gencive sombre. C'est une solution de pointe pour une restauration dentaire harmonieuse et durable, particulièrement adaptée aux zones soumises à de fortes pressions masticatoires.

Bridge en Zircone

Blanchiment dentaire

Blanchiment dentaire

Contact

Résidence Les Lilas , bloc C ,Rez de Chaussée, C 1, Centre Urbain Nord - Tunis

dr.amine.mlayah@gmail.com

23860083

Téléchargement

Adresse

© dental.com.tn. All Rights Reserved.